こんにちは、みなさん、お疲れ様です!超音波検査士けんしんです。
この記事は
超音波検査士を取ろうと思うけど症例の書き方がわからない人
仕事が忙しすぎて超音波実績のレポートを書く余裕がない人
超音波検査を始めたけどどうやってドクターにレポートを書いたらいいかわからない人
に向けて書いています。
症例を集めてレポートにしていくのはとてもしんどいですよね。私も中小規模の病院なので症例集めにも苦労し、しかもレポートの書き方を教えてくれる人もいないという状況でした。
提出期限ギリギリになって認定医を探して何とか受験できたのを覚えています。
今回は私が提出したレポートを公開して、みなさんの今後の受験の参考になればと思います。
右葉は軽度萎縮を呈し、辺縁の鈍化を認める。
肝臓周囲には腹水貯留を認める。
胆嚢:異常所見なし
胆管:異常所見なし
膵臓:異常所見なし
腎臓:異常所見なし
脾臓:腫大を認める。(千葉大第一内科の式:7.2cm×5.4cm=38.8㎠)脾静脈の拡張は認めず。
膀胱:異常所見なし
肝臓や脾臓周囲に腹水貯留を認める。
門脈圧亢進所見や、リンパ節の腫大は認められなかった。
血液検査では、
白血球数が2630 /μL、赤血球数が275×10^4/μl、血小板数が12.0×10^4/μlと汎血球減少を認められるが、ASTが24U/l、ALTが10U/l 、LDが185U/l、ALPが358U/lと肝酵素系は正常値であった。
また、HBs抗原、HCV抗体ともに陰性である。
しかし蛋白分画にてγ-グロブリンが50.6%と上昇し、IgGが3858mg/dLで高値を認め、抗核抗体が陽性だった事から自己免疫性肝疾患が疑われた。
単純CTにて肝表面の凹凸不整、肝辺縁の鈍化、腹水の大量の貯留、著明な脾腫を認め、肝硬変の所見に合致し、自己免疫性肝硬変と診断された。



この記事は
超音波検査士を取ろうと思うけど症例の書き方がわからない人
仕事が忙しすぎて超音波実績のレポートを書く余裕がない人
超音波検査を始めたけどどうやってドクターにレポートを書いたらいいかわからない人
に向けて書いています。
症例を集めてレポートにしていくのはとてもしんどいですよね。私も中小規模の病院なので症例集めにも苦労し、しかもレポートの書き方を教えてくれる人もいないという状況でした。
提出期限ギリギリになって認定医を探して何とか受験できたのを覚えています。
今回は私が提出したレポートを公開して、みなさんの今後の受験の参考になればと思います。
noteでテンプレを販売しています
肝臓疾患のテンプレ集※そのまま使わないでね
10名限定!同じ目標を持つ仲間とモチベーションを高めるコミュニティ
C-1 肝硬変
[超音波検査所見]
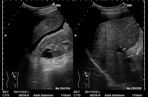
肝臓:表面は軽度の凹凸不整を呈し、実質エコーは軽度粗雑化を認める。右葉は軽度萎縮を呈し、辺縁の鈍化を認める。
肝臓周囲には腹水貯留を認める。
胆嚢:異常所見なし
胆管:異常所見なし
膵臓:異常所見なし
腎臓:異常所見なし
脾臓:腫大を認める。(千葉大第一内科の式:7.2cm×5.4cm=38.8㎠)脾静脈の拡張は認めず。
膀胱:異常所見なし
肝臓や脾臓周囲に腹水貯留を認める。
門脈圧亢進所見や、リンパ節の腫大は認められなかった。
[超音波所見と臨床診断との関連について]
腹痛と腹部膨満感を主訴に来院した患者である。血液検査では、
白血球数が2630 /μL、赤血球数が275×10^4/μl、血小板数が12.0×10^4/μlと汎血球減少を認められるが、ASTが24U/l、ALTが10U/l 、LDが185U/l、ALPが358U/lと肝酵素系は正常値であった。
また、HBs抗原、HCV抗体ともに陰性である。
しかし蛋白分画にてγ-グロブリンが50.6%と上昇し、IgGが3858mg/dLで高値を認め、抗核抗体が陽性だった事から自己免疫性肝疾患が疑われた。
単純CTにて肝表面の凹凸不整、肝辺縁の鈍化、腹水の大量の貯留、著明な脾腫を認め、肝硬変の所見に合致し、自己免疫性肝硬変と診断された。
エコー図

シェーマ①

シェーマ②


コメント