こんにちは、みなさん、お疲れ様です!超音波検査士けんしんです。
この記事は
超音波検査士を取ろうと思うけど症例の書き方がわからない人
仕事が忙しすぎて超音波実績のレポートを書く余裕がない人
超音波検査を始めたけどどうやってドクターにレポートを書いたらいいかわからない人
に向けて書いています。
症例を集めてレポートにしていくのはとてもしんどいですよね。私も中小規模の病院なので症例集めにも苦労し、しかもレポートの書き方を教えてくれる人もいないという状況でした。
提出期限ギリギリになって認定医を探して何とか受験できたのを覚えています。
今回は私が提出したレポートを公開して、みなさんの今後の受験の参考になればと思います。
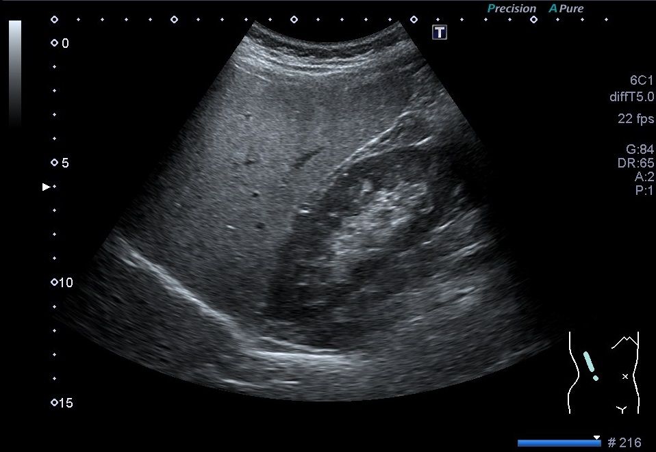
肝腎コントラストの上昇、深部でのエコー輝度の減衰、肝内血管の不明瞭化も認められる。
胆嚢周囲、門脈周囲にも限局性の低脂肪化域が認められる。
胆嚢:異常所見なし
総胆管:異常所見なし
膵臓:異常所見なし
脾臓:異常所見なし
腎臓:異常所見なし
膀胱:異常所見なし
前立腺:異常所見なし
血液検査では肝酵素はASTが83U/l、ALTが157U/lとALT優位の上昇が認められ、γ-GTPは79U/lと軽度上昇、ChEは493U/lと正常範囲だった。
肝炎ウイルスはHBs抗原、HCV抗体はともに陰性だった。
脂質系はT-Choが243mg/dL、LDL-Choが172mg/dL、TGが224mg/dLが高値だった。
単純CTでは肝実質CT値の低下を認められ、脂肪肝の所見と合致した。
したがって非アルコール性脂肪肝(NASH)と診断された。

エコー図②



この記事は
超音波検査士を取ろうと思うけど症例の書き方がわからない人
仕事が忙しすぎて超音波実績のレポートを書く余裕がない人
超音波検査を始めたけどどうやってドクターにレポートを書いたらいいかわからない人
に向けて書いています。
症例を集めてレポートにしていくのはとてもしんどいですよね。私も中小規模の病院なので症例集めにも苦労し、しかもレポートの書き方を教えてくれる人もいないという状況でした。
提出期限ギリギリになって認定医を探して何とか受験できたのを覚えています。
今回は私が提出したレポートを公開して、みなさんの今後の受験の参考になればと思います。
C-1 脂肪肝
[超音波検査所見]
肝臓:肝実質のエコーレベルの上昇が認められる。(高輝度肝:bright liver)肝腎コントラストの上昇、深部でのエコー輝度の減衰、肝内血管の不明瞭化も認められる。
胆嚢周囲、門脈周囲にも限局性の低脂肪化域が認められる。
胆嚢:異常所見なし
総胆管:異常所見なし
膵臓:異常所見なし
脾臓:異常所見なし
腎臓:異常所見なし
膀胱:異常所見なし
前立腺:異常所見なし
[超音波所見と臨床診断との関連について]
倦怠感の持続で来院し、腹部超音波検査を施行した患者である。アルコールの飲酒はなし。血液検査では肝酵素はASTが83U/l、ALTが157U/lとALT優位の上昇が認められ、γ-GTPは79U/lと軽度上昇、ChEは493U/lと正常範囲だった。
肝炎ウイルスはHBs抗原、HCV抗体はともに陰性だった。
脂質系はT-Choが243mg/dL、LDL-Choが172mg/dL、TGが224mg/dLが高値だった。
単純CTでは肝実質CT値の低下を認められ、脂肪肝の所見と合致した。
したがって非アルコール性脂肪肝(NASH)と診断された。
エコー図①

エコー図②

シェーマ①

シェーマ②


コメント